Smile Gallery


Non-surgical overbite correction on a patient with severe TMJ pain and unable to chew properly. Collapsed overbite wearing and damaging his teeth as well. Bite correction and alignment then restored teeth to correct physiologic position enhancing his smile and profile too. Patient is pain free and has beautiful natural smile.


Cosmetic dentistry patient with TMJ and facial asymmetry. Her TMJ, bite and smile were corrected to create this radiant smile.


This patient was suffering from TMJ pain and was treated first with a fixed orthotic and then with porcelain veneers and onlays. She is now pain-free and has a nice smile and improved facial symmetry and profile.


Porcelain veneers used for smile makeover: The lower teeth were completed to correct his TMJ pain and bite. Note how his new smile lights up his face.


This is a restorative TMJ dentistry case with a combination of porcelain veneers and crowns to correct her bite that was ruined due to teeth grinding, and laser gum lift for aesthetic purposes and no more gummy smile.


This patient received a nonsurgical facelift through dental work for TMJ and bad bite correction. Notice the transformation not just in her smile but in her whole face.


This patient was breaking his teeth due to his bite, and had severely worn teeth and a collapsed bite from TMJ dysfunction. Notice the improvement of the lower third of the face and the youthfulness in his new smile and improved bite.


Headaches, neck pain, and jaw pain along with an anterior open bite and overbite. The patient expressed years of pain and not wishing to have jaw surgery. We were able to non-surgically correct all her TMJ issues and then redid her porcelain veneers for improved esthetics.


In many cases, from overbites to TMJ pain and facial asymmetry, there are usually many non-surgical ways to help patients. The CBS Horrors of TMJ Surgery made no reference to options patients should consider in place of surgery. This case was treated for nonsurgical TMJ treatment and cosmetic dentistry. In addition to TMJ, the patient had vertigo and headaches, which went away after treatment.


In this case, Dr. Konig realigned her jaw to relieve the pain and discomfort and corrected this bad bite with conservative porcelain on the lower teeth and only needed 4 veneers on the upper to correct her esthetics and create a healthy, long-lasting smile without TMJ pain.


Narrow smile and crooked teeth, advanced veneer designs and gum lift to create a straight and beautiful smile. The patient desired a natural appearance.


This case portrays a gentleman unhappy with staining and chipping of his teeth as well as the aging appearance and shade. His desire was for a more youthful and white smile that radiates. Dr. Konig designed and created this radiant and youthful smile utilizing custom designed porcelain veneers. Notice the glaze and contours of the teeth to help create this appearance. Note the teeth are not all the same length, restoring the youthfulness and attractive smile makeover.


This case shows a lady who felt her teeth looked aged and worn. She wanted a more youthful, yet natural appearance. Custom shaded porcelain veneers were designed to improve her bite and enlighten her smile. Note the natural and vibrant shading and a very happy patient with a beautiful smile. Additionally, note the crossbite is no longer present and she has a wider and fuller smile.


Protruded and discolored teeth. Advanced porcelain veneer techniques to correct protrusive teeth and restore normal lip profile


Veneers utilized to close the spaces and whiten the smile. Note the improved proportions of the teeth and how the new smile follows the lip line.


Porcelain veneers utilized to transform this to a beautiful and vibrant smile! This patientās concerns were:
- The size and shape of her teeth
- The aging appearance
- Lack of vitality or shine
- Proportions of the teeth


New porcelain veneers exhibiting correct tooth proportions and vitality with a natural tooth-colored shade.


Not every case needs to have full mouth gum grafting. Advanced smile design was utilized to correct the bite and create this beautiful and healthier smile with customized porcelain veneers.


The art of creating natural smiles. Six custom designed veneers to create this natural and beautiful smile. Note the shading and layered translucence to blend in with her natural teeth. Konig Smiles, designed for each individual as no two smiles should be alike.


This patient struggled with Tetracycline stains, undersized teeth, and a gummy smile. She received porcelain veneers and a laser gum lift used for her smile makeover and a life-changing smile.




Discolored and protruded front teeth, the patient desired natural appearing teeth that blend in with her lower teeth. Note the advanced porcelain veneer smile design that also corrected the protruding front teeth to create a beautiful profile and smile.


Broken and discolored teeth. Patient desired a fuller and whiter smile with natural contours. Note the shading and anatomy to create this smile.


New porcelain veneers exhibiting correct tooth proportions and vitality with a natural tooth-colored shade.


Non-prep veneers to widen and whiten her smile. Her concerns were small and discolored teeth with a narrow smile. Just loved the non-prep results! Note the translucence and natural appearance.


Not everyone needs 10 veneers. This is a no-prep case on the two small upper lateral incisors. Placing veneers on two teeth changed her entire smile and created a more proportional and symmetrical smile. The veneers were custom-shaded to the same texture, shine, and shading as the natural teeth.


Protruded and discolored teeth. Advanced porcelain veneer techniques to correct protrusive teeth and restore normal lip profile


Patient presented with worn and broken teeth that had been breaking off and on for years. She was also unhappy with her recessed chin and TMJ discomfort. Rather than āfixā her teeth to the misaligned bite that had caused the damage, Dr. Konig utilized TMJ/bite management techniques to correct the misalignment and overbite non-surgically. The results are a beautiful smile, no overbite, and improved, more youthful facial features.


Did you know that overbites can cause worn teeth, TMJ and facial pain?
Non-surgical overbite correction on a patient with severe TMJ pain and unable to chew properly. Collapsed overbite wearing and damaging his teeth as well. Bite correction and alignment then restored teeth to correct physiologic position enhancing his smile and profile too.Patient is pain free and has beautiful natural smile.


This patient had been advised that she needed jaw surgery to correct her underbite that was damaging her teeth, impeding her speech, and was unesthetic and had a lack of upper lip support. With advanced non-surgical jaw realignment, we were able to correct all these issues and give her a healthy and beautiful smile.


Patient unhappy with her narrow smile and worn teeth. Utilizing advanced smile and bite design, we were able to correct the crossbites, widen the smile, and restore the worn and aged appearance of her teeth. This was a complex porcelain veneer case and patient was elated.




Collapsed deep overbite due to bicuspid extractions and orthodontics twice. Bite correction used to enhance her facial features. Notice the changes in the lower 1/3 of the face and even the improvement in cheekbones and sclera of the eyes. Also notice the improved facial symmetry.


This is a gentleman who presented with a Class 3 Underbite. Non-surgical underbite correction for a patient who presented with TMJ pain, headaches, difficulty chewing, worn and damaged teeth due to his misaligned underbite. We realigned and corrected his bite as well as enhanced his facial features and profile eliminating the prominent chin often noted in underbite cases. Minimal prep used to correct his bite without surgery. Additional benefits were an improved airway and breathing, and better posture. An elated and healthier patient.


More than just teeth, this life changing case changed the bite, airway, sleep, and esthetics to improve his life. Advanced physiologic bite management and treatment were utilized to save his teeth and to create a functional healthy and esthetic smile.


Overbite correction and a non-surgical facelift in the dental office.


This case shows a lady who felt her teeth looked aged and worn. She wanted a more youthful, yet natural appearance. Custom shaded porcelain veneers were designed to improve her bite and enlighten her smile. Note the natural and vibrant shading and a very happy patient with a beautiful smile. Additionally, note the crossbite is no longer present and she has a wider and fuller smile.


Nonsurgical overbite correction made to treat patient’s headaches and worn teeth. And a nonsurgical facelift was completed in our dental office.


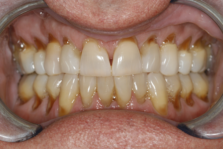
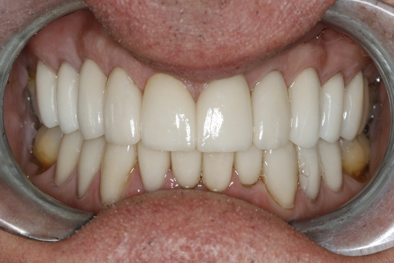
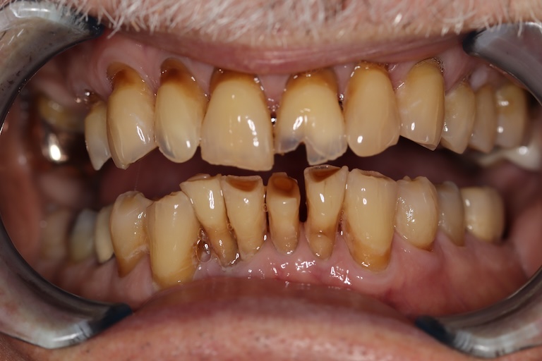
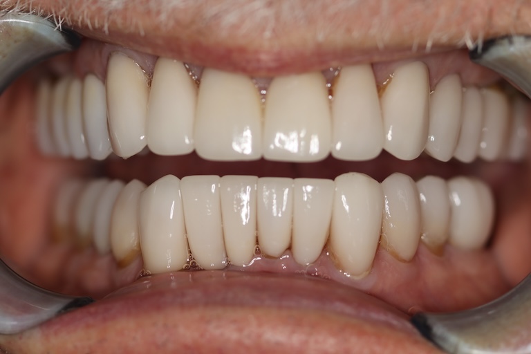
This gentleman was constantly breaking teeth and having crowns placed. Additionally, experiencing TMJ pain and had difficulty chewing, as well as snoring. It is easy to see in the photos how damaged the teeth are due to his misaligned bite and overbite. Rather than keep restoring his teeth to the bad bite, Dr. Konig re-aligned his bite, muscles, and cervical posture to the corrected physiologic position. A combination of customized ceramic crowns and porcelain veneers were utilized. This not only allowed the teeth to be built up as opposed to grinding down, but also restored him to a healthier airway, muscles and comfort as well as allowed for a beautiful smile.


This case shows how a bad bite had caused worn teeth, gum disease, and a crooked and aged smile. Rather than just fix the teeth, Dr. Konig aligned his jaw and facial muscles first then corrected the bite and smile, achieving a long-term stable bite and healthy transformative smile makeover!


Porcelain Veneers used for smile makeover: The lower teeth were completed to correct his TMJ pain and bite: note how his new smile lights up his face.


Veneers to close the spaces and redesign the smile.


This patient received a nonsurgical facelift through dental work for TMJ and bad bite correction. Notice the transformation not just in her smile but in her whole face.


This patient was breaking his teeth due to his bite and had severely worn teeth and a collapsed bite from TMJ dysfunction. Notice the improvement of the lower third of the face and the youthfulness in his new smile and improved bite.


This young man presented with a lifetime of migraine headaches and TMJ issues. Overbite and recessed chin. Advised to have orthognathic surgery. We were able to eliminate migraines and correct his overbite non-surgically. Notice the greatly improved profile. Life changing!


This gentleman was constantly breaking teeth and having crowns placed. Additionally, experiencing TMJ pain and had difficulty chewing, as well as snoring. It is easy to see in the photos how damaged the teeth are due to his misaligned bite and overbite. Rather than keep restoring his teeth to the bad bite, Dr. Konig re-aligned his bite, muscles, and cervical posture to the corrected physiologic position. A combination of customized ceramic crowns and porcelain veneers were utilized. This not only allowed the teeth to be built up as opposed to grinding down, but also restored him to a healthier airway, muscles and comfort as well as allowed for a beautiful smile.


Collapsed deep overbite due to bicuspid extractions and orthodontics twice. Bite correction used to enhance her facial features. Notice the changes in the lower 1/3 of the face and even the improvement in cheekbones and sclera of the eyes. Also notice the improved facial symmetry.


This is a gentleman who presented with a Class 3 Underbite. Non-surgical underbite correction for a patient who presented with TMJ pain, headaches, difficulty chewing, worn and damaged teeth due to his misaligned underbite. We realigned and corrected his bite as well as enhanced his facial features and profile eliminating the prominent chin often noted in underbite cases. Minimal prep used to correct his bite without surgery. Additional benefits were an improved airway and breathing, and better posture. An elated and healthier patient.


This young lady had TMJ pain, headaches, collapsed overbite and separated front teeth. These issues were leading to smaller lower 1/3 of the face and the chin getting closer to the nose. Treatment of the TMJ to find the correct physiologic position for her muscles, joints and teeth was completed, then the teeth were restored with porcelain to the correct bite for function and aesthetic. Note the younger looking face and improved muscle tone too.


This lovely lady had TMJ pain, facial asymmetry and a collapsed overbite. TMJ treatment and nonsurgical facelift dental treatment were used to correct her bite, asymmetry and cosmetic dentistry smile.


This patient received a nonsurgical facelift through dental work for TMJ and bad bite correction. Notice the transformation not just in her smile but in her whole face.


This gentleman was unhappy with his smile in addition to being told the lower four front teeth and upper lateral incisors were loose. Dr. Konig noted his bite, or the way the teeth meet together was damaging these teeth. His bite was over-closed, causing excess trauma on the front teeth which also caused the gum recession. By correcting his bite and TMJ issues, we were able to save all these teeth and create an attractive and confident smile. This involved correcting the bite on the back teeth, re-aligning his jaw and cosmetic porcelain veneers on the front teeth. This also increased the lower 1/3 of his face (nonsurgical dental facelift) which in turn created a more youthful facial profile.


Deep overbite corrected with physiologic dentistry and porcelain restorations. By correcting the bite using physiology, the resulting facelift followed. Also, note how all his teeth were saved and built up to the correct facial and bite positions.


A misaligned jaw and neck caused worn down teeth and an underbite. This case was completed by TMJ and bite correction and porcelain restorations. This was an example of how nonsurgical facelift is age correcting. The lower 1/3 of the face is longer and more attractive with no surgery needed.


Beautiful Konig Smile Design, combination of implants, veneers and all ceramic crowns. Note the beautiful contours and natural appearance of the teeth and how it follows her smile line. Additionally, her bite has been corrected for comfort and longevity. Patient enjoying a beautiful smile.


Patient presented with losing the left central incisor due to trauma. She also desired a beautiful smile. Her smile was designed with the dental implant to blend in seamlessly with the other porcelain veneers. Proper planning and smile designs allowed for a beautiful result.


This patient was a young lady with different sized teeth, broken fillings and a failing implant. She received an aesthetic upgrade with cosmetic dentistry using porcelain veneers, dental implants and crowns to rejuvenate her smile. Notice how naturally her new smile fits her lips and mouth contours..


Dental implants can be used to replace missing teeth and should be cosmetic as well as functional. This case reflects how strategic planning and 3D imaging allows proper implant placement so that the cosmetic and functional requirements of the patient can be met. This can be termed Functional.


Comprehensive esthetics: gum lift for less gummy smile, wider smile, missing tooth and smile line that follows the lips ⦠Konig Smile Designs. More than just cosmetic dentistry.


Tetracycline stains, undersized teeth and a gummy smile. Porcelain veneers, laser gum lift used for smile makeover and life changing smile.


This is a restorative TMJ dentistry case with a combination of porcelain veneers and crowns to correct her bite that was ruined due to teeth grinding, and laser gum lift for aesthetic purposes and no more gummy smile.


Bonding used to conservatively fix the chipped teeth.


Bonding with special shading to fix fractured teeth on an 11-year-old who was involved in an accident. Note the custom color shading to mimic the natural teeth


This patient was a young lady with different sized teeth, broken fillings and a failing implant. She received an aesthetic upgrade with cosmetic dentistry using porcelain veneers, dental implants and crowns to rejuvenate her smile. Notice how naturally her new smile fits her lips and mouth contours..


This is a restorative TMJ dentistry case with a combination of porcelain veneers and crowns to correct her bite that was ruined due to teeth grinding, and laser gum lift for aesthetic purposes and no more gummy smile.


Beautiful Konig Smile Design, combination of implants, veneers and all ceramic crowns. Note the beautiful contours and natural appearance of the teeth and how it follows her smile line. Additionally, her bite has been corrected for comfort and longevity. Patient enjoying a beautiful smile.
Explore our smile gallery to see the incredible results Dr. Ronald Konig has achieved! To learn more about our dental services and schedule your personal consultation with our dentist in Houston, Texas, please contact Konig Center for Cosmetic & Comprehensive Dentistry at 713-668-2289 today.
Dr. Ronald Konig has helped countless patients improve their health, wellbeing, quality of life and smiles. We are dedicated to helping you achieve a completely healthy and confident smile. Call Konig Center for Cosmetic & Comprehensive Dentistry today at 713-668-2289 to schedule your personal consultation with our dentist in Houston, Texas, and learn more!
Schedule Your Appointment Today!
Call or request an appointment to meet with Dr. Konig. Whether you are searching for a cosmetic dentist in Houston, cosmetic dentistry in Houston, a Houston cosmetic dentist, a TMJ specialist in Houston, or a TMJ specialist in Houston, TX, our team is here to help you feel and look your best.
