Is Surgery the Only Option for Overbites and TMJ Pain?


Many patients visit our office seeking consultations for options to correct their overbites without undergoing orthognathic surgery. Some experience TMJ pain, while others do not, but most want to avoid major surgery on their faces.
Common Reasons Patients Seek Non-Surgical Alternatives
- Facial appearance of a recessed chin
- Collapsed or aging facial profile
- TMJ pain
- Worn teeth
- Airway issues
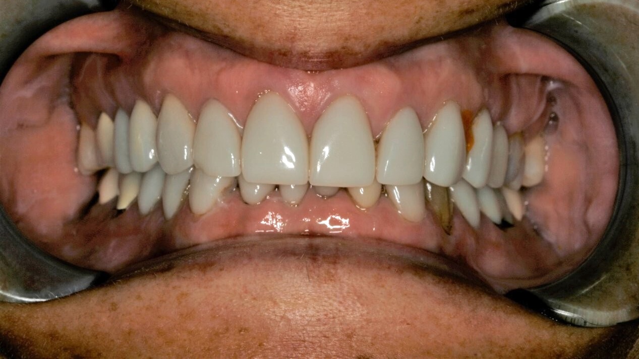
This improved physiologic position often enhances the facial profile, restoring symmetry and correcting a recessed chin, resulting in a more attractive and natural appearance.
Dr. Konig explains, āTMJ treatment should not be about putting a removable splint in that is hard to wear and talk with and then wearing it the rest of your life. Physiologic treatment most often restores proper symmetry, function, and facial beauty.ā
Once the optimized physiologic position is determinedātaking into account patient comfort, function, and estheticsāa test drive bite is utilized. After this phase, long-term treatment options can be discussed. These can include conservative approaches such as:
- No-grinding or minimal grinding porcelain restorations
- Specialized orthodontics to align the teeth with the newly found bite position
If you have questions regarding Houston TMJ treatment or Houston non-surgical overbite correction, please contact our office:
Ronald W. Konig DDS, FAGD, LVIF
Phone: 713-668-2289
