How Does Your Airway and Breathing Affect Your Bite and Smile?
There is a reason that teeth are crooked or that oneās airway is small. There is more to health than straight teeth. A properly functioning nasal breathing, swallowing, and tongue function truly affects the dental occlusion or bite. Having dysfunction in these areas can cause a host of problems, from TMJ pain to crooked teeth, posture problems, sleep apnea, and poor jaw development affecting the facial esthetics. Many develop underbites or overbites from these issues.
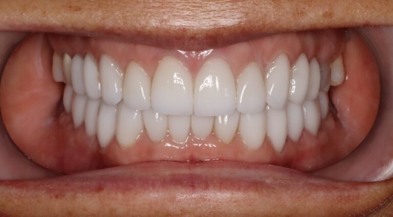
These photos show how a bad bite due to mouth breathing and insufficient tongue space caused TMJ issues and how TMJ treatment opened the airway. This patient has a fixed orthotic that helped reposition her jaw, muscles, and neck to a better physiologic position.

Before: Overbite causing constricted airway, TMJ pain, headaches

After: Non-surgical overbite correction to improve airway and TMJ. No more pain or headaches
To fully assess this, dentists should evaluate a 3D scan (not a panorex) to evaluate the jaw joints, airway, turbinates, bite, and tongue position. Too many times these factors are not evaluated and can be problematic on their own.
What should patients look for when seeking treatment for these issues?
It is essential that these areas are addressed to help lead to success.
- Mouth breathing
- Snoring or Sleep Apnea
- Neck Posture or Neck Pain
- Tongue function and posture
- Nasal patency
- Tongue tie
- Airway including nasal turbinates and septum
- TMJ joints
Looking at or just straightening teeth is not a viable or comprehensive approach and will usually not solve the problems and lead to more long-term issues down the road. It is also imperative to evaluate a 3D or CBCT scan completely and is considered the standard of care as well.
Last but not least, important is the role of myofunctional therapy, which is a program in which certified myofunctional therapists can work with patients with the big three, which are essential to long-term success:
- Nasal breathing
- Lip seal
- Proper tongue swallowing and posturing
This not only aids in growth and development but also improves the patientās overall well-being for a multitude of reasons. Truly, this approach can change patientsā lives and improve the quality of their lives. With children, many issues can be prevented when properly diagnosed and treated.
If you have questions about Houston TMJ treatment, non-surgical bite correction, or Houston Myofunctional Therapy, please call our office, Ronald W. Konig DDS, FAGD, LVIF, FIAPA.
