Overbite Correction Without Surgery, Braces, or Aligners

Overbite correction and lower 1/3 face profile corrected
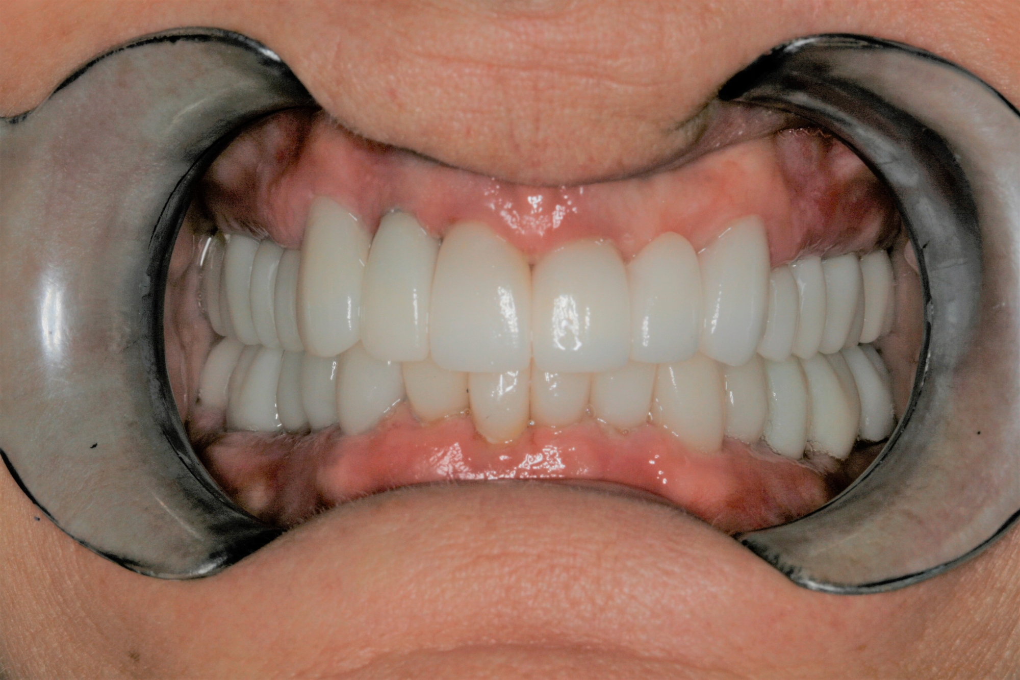
There are many patients who appear to have premature aging or the appearance of facial collapsing. Many of these patients have overbites, and some have TMJ pain along with headaches and the appearance of retruded chins or weak chins. Most often these patients have deep overbites along with worn teeth. The retruded jaw is not a natural physiologic position for the jaw to be in, and this strains the craniofacial muscles and can even cause sleep apnea and snoring due to closing the airway. Conventional veneers or crowns will not correct these issues.
Common Symptoms of Overbite Patients:
- Retruded chins or lower jaw
- Premature Aging Faces
- TMJ pain
- TMJ clicking
- Airway issues or snoring
- Worn teeth
- Sometimes no pain
Dr. Konig explains that repositioning the jaw to the more natural physiologic jaw position can relieve and stabilize the TMJ symptoms as well as improve the airway and improve the facial profile and any clicking and popping in the jaw. This can often be done conservatively without surgery or years of braces.
He further explains that his office always test drives the corrected bite and ascertains patient comfort and stability before any long-term treatments are incorporated.
If you have any questions regarding Houston Non-surgical Overbite Correction, Houston TMJ Treatment, or Houston Non-surgical Facelifts, please feel free to contact our office, Ronald W. Konig DDS, FAGD, LVIF, 713-668-2289.
